
放射線科では、放射線科医師1名、診療放射線技師16名、受付1名からなる18名のスタッフで業務を行っております。
主な業務は、MRI CT マンモグラフィー 一般撮影 血管撮影 消化管撮影と多岐にわたります。
また、スタッフは勉強会、研修会等に参加し、知識と技術の向上に努めております
皆さんが身近に思えるところとしては、健康診断で受ける胸の写真ですね。
また、腰が痛かったり、指を何かで挟んだりしたときも、やはりレントゲン写真を撮影します。
医師が皆さんの体の状態を把握するために必要なものが、この一般撮影なのです。
下の写真はお腹の写真です。
①②③のところを注目してください。
①と②はブラジャーをしたまま撮影されたことがわかります。
③は服のチャックです。
ブラジャーにしろ、チャックにしろ、金属は写真にこんな感じに写ってきます。皆さんもお気づきのようにこれでは患者様の体の情報が隠れてしまいます。せっかく写真を撮ってもこれでは意味がありません。
体調不良で来院している患者様には辛いこととは思いますが、検査着への着替えや服の脱衣のご協力をお願いします。
※その他に気をつけたほうがいいもの
エレキバン, カイロ, 入歯, めがね, かつら,ウイッグ

当院では64スライスCTを導入しています。
(シーメンス社SOMATOM DIFINITION AS 64)
従来のCTより高速に、より高精細に検査を行うことが可能になりました。
1. これまで撮影を行うことが出来なかった心臓(冠状動脈)の撮影が行えます。
従来のCTでは、動き続ける臓器は撮影することが出来なかったのですが、64スライスCTの撮影高速化、画像高精細化により心臓(冠状動脈)の撮影を行い、診断可能になりました。
2. 患者様に合わせた最低量のX線で検査が行えます。
患者様の体格や解剖学的構造を解析することにより、撮影するためのX線量を自動制御し、画質の最適化と被ばく低減を両立することが可能となりましたので、安心して検査を受けて頂けます。
3. 高速撮影により息を止める時間が短縮されました。
従来の撮影では胸部撮影時間が約20秒程度あり、撮影中は呼吸を止めて貰う必要がありました。しかし64スライス撮影により、撮影時間を大幅に短縮することが可能になりました。これにより息止めの負担を少なくすることができます。

CTで行う検査は大きく分けて2種類あります。
造影剤を使う検査と使わない検査です。
造影剤検査はすべての患者さまに行われるのではなく担当医師が腎臓の機能などに心配がなく、診断上必要とされた時のみに行われます。
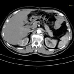
造影剤とは単純撮影(左図)で見ることの出来ない臓器を見えるようにし、身体の中の状態をより詳しく把握することができ、また、正常組織と異常のある組織を区別しやすくする薬のことです。(右図)
造影剤は静脈に注射し、血流に乗って各臓器に流れます。
一般的に悪性腫瘍など病変組織は正常組織に比べ血流が多くなる為、造影剤を使用することで正常組織を異常組織の区別をつきやすくすることができます。

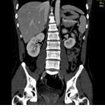
これは、単純に輪切りにした画像です。

その輪切りにした画像を重ね合わせて、上からみた画像はこのようになります。

さらに進んで、3D処理をするとこのようにみえます。
腎臓や腹部大動脈がよく見えますね。

今までは心臓のCTを取ることは不可能でしたが、64スライスCTでは綺麗に撮影することができます。
冠状動脈が綺麗に見えますね。

当院では1.5テスラMRIを導入しています。
シーメンス社(MAGNETOM Area 1.5T)
強力な磁石でできたドーナツ状の筒の中に入り、磁気の力を利用して体の断面や血管を撮影する検査です。体内の様々な病巣を発見することができますが、特に脳や卵巣、前立腺等の下腹部、脊椎、四肢などの病巣に関しては、圧倒的な検査能力を持っています。
1.検査時間は20分~40分です。
(検査部位・条件により異なります)
2.検査中はただ横になっているだけです。
(動きに弱いので、体を動かさないで下さい)

①装置開口部の直径が大口径になり、また開口部内部に照明が
付き明るくなった事で、検査時の圧迫感や閉塞感が軽減されます。
②従来のMRI検査と同じ時間でより鮮明な画像を提供できます。

造影剤を注入して肝臓・胆嚢・膵臓・腎臓・腸などの腹部臓器の血管を染め出し、連続して血管の形の変化や異常を観察します。
腹部臓器や腹部血管の病気の診断。腹部臓器の手術の敵・不適、手術の方法や範囲の決定のために行われる検査です。
当院では、正確に、短い時間で、 少ないX線量で検査できるX線骨密度測定装置を導入しています。
この検査は、骨の健康状態(骨粗しょう症の程度)をチェックし、骨密度の減少を早期に発見し、骨折の原因となる骨粗しょう症の予防や適切な治療を行うことが出来ます。
腰椎と大腿骨に二種類のエネルギーのX線を照射し、X線の骨による吸収の差を利用し骨塩量を測定します。

・当院機器は日本骨代謝学会でも推奨されているDEXA法による検査を行う装置です
様々な骨密度測定法がある中でも、最も測定精度の高い方法です。
・「腰椎」と「大腿骨」の複数部位にて検査が行えます
当院機器は、骨粗しょう症学会のガイドラインで推奨されている腰椎・大腿骨頸部で測定できます。
複数部位を測定する事により、高精度な結果を得ることが出来るようになります。


スロット撮影とは、X線をスリット上に絞り、映像系を平行移動させながら画像を収集し、得られた画像をつなぎ合わせて1枚の長尺画像に再構成しています。
また、スリット上にする事で散乱線の影響を抑えた高画質な画像が低線量で撮影出来ますので、患者様の被爆低減にも繋がっています。当院では、この撮影法で全脊椎と全下肢を撮影しています。


PTCD(経皮的胆管ドレナージ)やERCP(内視鏡的逆行性胆・膵管造影)という検査をします。PTCDは直接胆道に針を刺し、そこから造影剤を注入し胆嚢や胆道の描出をするものです。
黄疸の軽減や胆道の狭窄部位の検索ために行われます。
またERCPは口から内視鏡を入れ、造影剤を注入することによって胆嚢から膵管までの流れを追う検査です。
シーメンス社(MAMMOMA Inspiration)
従来のマンモグラフィに加えて、デジタルマンモグラフィでの「トモシンセシス」撮影が可能となります。

マンモグラフィ検査とは、乳房専用のレントゲン撮影のことです。
写真のように、台とプラスチックの2枚の板の間に乳房を片方ずつ挟んで、薄く引き延ばした状態で撮影します。上から下へ挟む方法と、斜めに挟む方法の2方向から、左右を比較するために両方の乳房を撮影していきます。(写真①)
トモシンセス撮影は異なる角度から25回撮影を行い、収集された情報を再構成し1mmスライスごとに表示させることができます。
乳腺との重なりなどで,2Dでは表示できなかった部位を観察することができます。
撮影時に挟む圧力は、自動で制御していて影後終了と同時に板が離れる仕組みになっています。
圧迫で痛みは伴いますが、圧迫によって乳房を1cmすることで被ばく線量は半分に減少し、乳房内も見やすくなります。
●撮影は全て女性の技師が行っています。気になることがございましたら、お気軽にお声を掛けて下さい。
※以下の項目に1つでも該当する場合は受診出来ません


| 受付時間 | 診療時間 | |
|---|---|---|
| 午前 | 8:00~12:00 | 9:00~13:00 |
| 午後 | 12:30~16:30 | 14:00~17:30 |
土曜日は、午前のみの受付・診療になります。

日曜祭日と年末年始
(12月31日~1月3日)
※急患はこの限りではありません

八潮中央総合病院
〒340-0814
埼玉県八潮市南川崎845番地
TEL:048-996-1131
FAX:048-997-2135